診療案内
歯周病(歯槽膿漏)の治療の流れ
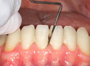
(1)歯周組織検査
専用の器具を使って、右の写真のように、
歯周ポケット(歯と歯ぐきの間)の深さや、出血、歯が動いていないかなどを調べます(
※少しチクチクする程度で痛くはありません)。
また、お口の中の状態をよりよく知るために、口腔内写真も撮ります。

検査後、歯周病の進み具合(軽度~重度)に応じて治療していきます。
歯周病軽度
磨き残した歯垢から酸が出て、歯ぐきが少し赤く腫れた状態。歯が動いたり、痛んだりすることはありませんが、放置すると歯ぐきや歯を支える骨に炎症が広がってしまいます。
(2)~(3)のステップで治療を進めます。
歯周病中度
歯垢が石灰化して歯石になり、歯肉ポケットができます。血や膿が出たりします。骨の破壊が進行、歯ぐきが下がり歯が少しぐらついたり、口臭がひどくなったりします。
(2)~(5)のステップで治療を進めます。
歯周病重度
歯ぐきの骨が破壊され、歯が上下にも動きます。痛くて食べ物を噛むこともできません。
最終は少しの刺激で歯が抜けてしまいます。
(2)~(6)のステップで治療を進めます。
(2)縁上歯石除去(スケーリング)
歯と歯ぐきの境目付近に付着している歯石を、“スケーラー”という器具を使って取り除いていきます。

![]()

歯石とは・・・
歯垢(プラーク)が、唾液などに含まれるカルシウムやリンなどにより、石灰化して石のように固まったものです。歯石の表面は歯垢(プラーク)が付着しやすい状態になっているため歯石が増えます。歯石は固まっているため、歯医者でしか取り除けません。これも、定期検診をおすすめしている理由のひとつです。
(3)歯周組織検査・2回目
歯周ポケット(歯と歯ぐきの間)の深さや、出血、歯が動いていないかなどを調べます。
![]()
- 治癒
- その他の治療
- 定期検診
(4)縁下歯石除去(SRP)
歯周ポケットが深くなり、歯肉の奥深く歯石が着いている時は、ルートプレーニングを行います。歯根の深い部分の歯石をとり、歯の表面をツルツルにしていきます。出血してびっくりされるかもしれませんが、ご心配不要です。
※歯周治療と並行して、定期的なブラッシング指導を行います。磨き残しを赤く染め、効果的な歯磨き法をお教えします。
(5)歯周組織検査・再評価
歯周ポケット(歯と歯ぐきの間)の深さや、出血、歯が動いていないかなどを調べます。
![]()
- 治癒
- その他の治療
- 定期検診
(6)歯周外科治療を行うこともあります。
※詳細は説明いたします。
